歯周病は、密かに静かに全身を蝕みます(その1歯周病の成り立ち)
歯科の2大疾患の一つである歯周病、30歳代で8割のヒトがかかっている一般的な病気ですが、ひそかに静かに全身を蝕んで行くことがわかってきました。糖尿病や認知症その他様々な全身疾患に口の中の細菌が関係しています。
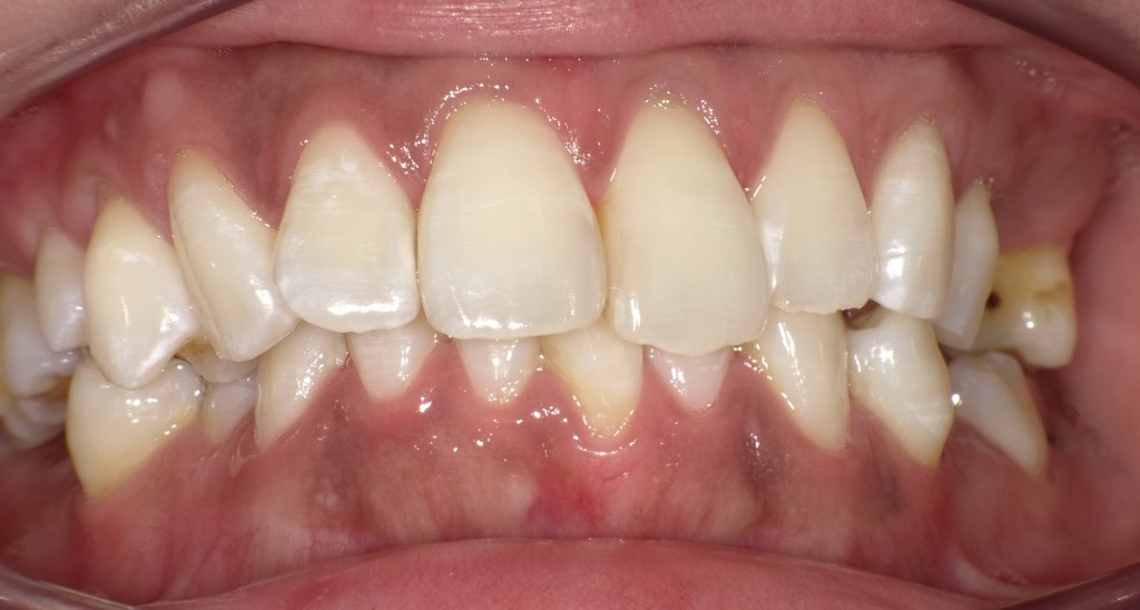
歯茎の炎症から始まり、末期になると歯が抜け落ちる病気となる歯周病。初期のうちは痛みなく進行するため、放置したままになりやすいです。しかし、この歯周病という病気、実は、歯だけの問題にとどまらず、糖尿病や動脈硬化、認知症などなど、様々な病気と関係していることが明らかになって来ました。今回は、歯周病の成り立ちから予防法まで2回に別けて、詳しくご説明します。
歯周病チェックリスト(日本臨床歯周病学会HPより引用)
【全体の症状】
1.口臭を指摘された・自分で気になる
2.朝起きたら口の中がネバネバする
3.歯みがき後に、毛先に血がついたり、すすいだ水に血が混じることがある
【歯肉の症状】
4.歯肉が赤く腫れてきた
5.歯肉が下がり、歯が長くなった気がする
6.歯肉を押すと血や膿が出る
【歯の症状】
7.歯と歯の間に物が詰まりやすい
8.歯が浮いたような気がする
9.歯並びが変わった気がする
10.歯が揺れている気がする
上記10個のなかでチェックの入った数を数えてください。
①チェックが1~3個の場合、歯周病の可能性があるため、軽度のうちに 治療を受けましょう。
②チェックが4~5個以上の場合、中等度以上に歯周病が進行している可能性 があります。早期に歯 周病の治療を受けま しょう。
③チェックがない場合:チェックがない場合でも無症状で歯周病が進行することがあるため1年に1回は歯科検診を受けましょう。
歯周病の方が、歯科医院に来院した場合、必ず最初に歯周組織検査を行います。歯と歯の隙間の深さと出血の有無などを調べるプローブと呼ばれる先端にミリ単位でメモリのついた器具を使い調べます。検査自体は、簡単なものですが、歯周病を客観的に評価する指標としては、とても重要なものです。
歯周病が、進行している人に、歯科医はこんな質問をすることがあります。
「血糖値は、正常ですか?」歯周病と血糖値ってすぐには結びつくとは思いませんね。
3週間歯磨きをしなかったら全身は、どうなるか?という疑問に答える実験が、ドイツで行われたそうです。50名の若い男女を対象に行われた実験によると、歯磨きをやめてから3週間後にには歯肉の腫れや出血が見らました。これは、歯周病の初期症状です。いわゆる歯肉炎と呼ばれる状態ですね。さらに、血液検査を行った結果、被験者のなんと56%が、エンドトキシン血症になっていることがわかりました。エンドトキシン血症とは、歯周病菌の出すエンドトキシンという毒素が血中に混じった状態を表す言葉で、健康な人の血中には全くないかほとんどないものです。エンドトキシン血症になると血液がドロドロして流れが悪くなり様々な臓器に異常がみられるようになります。最悪は、死に至る病になる可能性すらあります。
3週間歯磨きをしなかっただけで、信じにくいですが、人体に異常が生じるわけですね。それでは、大昔、歯磨きの習慣が全くない人々は、みんな歯周病やその合併症にかかっていたのでしょうか。疑問が涌いてきますね。そのヒントになる実験も行われたことがあるらしいですので、紹介します。男女および子供を含む10名に4週間、スイスの川べりの土地で石器時代同様の暮らしをしてもらい、歯や歯茎の変化を調べました。食べ物は、全粒の麦類や塩、ハーブ、ベリー、はちみつ、牛乳、ヤギと鶏の肉、魚安堵で、調理はただ炙るだけにして、歯磨きは一切しない。
4週間後に口の中を調べると、驚くべきことがわかりました。なんと、誰ひとり歯周病にかかっておらず、さらに健康になっていたのです。このような結果になった第一の理由は、「砂糖を食べていなかったこと」だと考えられます。石器時代に比べると現代人は、明らかに砂糖や淡水化物を多く摂取してるのでそれはうなずける理由となります。
口の中には、300~700種類の細菌が、1兆個住んでいると言われています。これらの細菌は、歯垢中に住んでいます。歯垢は、ばい菌のすみかなのです。歯磨きをせずに、何か食べた後、24時間(丸一日)そのままで行くと24時間後には歯垢が出来上がります。歯垢の中でいろいろな細菌が増殖してどんどん大きくなり、やがて48時間後には、病原性を持つようになると言われています。病原性をもつものの中に歯周病菌を含まれています。さらに歯垢の表面に唾液中のカルシウムなどが取り込まれだんだん硬くなります。2~3週間で石のように固くなり、歯石になります。歯垢は、歯ブラシで取り除けるが、歯石になると自分では、取り除けません。また、歯石の表面はザラザラしているため、その上にさらに歯垢が付きやすくなります。歯垢が残りやすいのは、やはり磨きにくい場所で、歯と歯の間や根元であり、磨きのこしができやすいため、磨きのこして古くなった歯垢ほど病原性が強くなると言われています。
歯と歯肉の間には、健康な人でも歯肉溝と呼ばれれる隙間があります。深さは、大人なら2~3mm子供なら1mmほどです。歯肉溝には、酸素が少ないため歯周病菌が好きな環境です。歯肉溝には歯肉溝浸出液という液が浸みだしていて歯周病菌は、これを餌に益々増殖していきます。そして歯肉の中に侵入します。
一方でこのような歯周病菌の増殖や侵入に対して私たちの身体は、黙っているわけではなく常に戦闘態勢に入ります。異常を察知すると免疫細胞は動き出し、細菌を攻撃し始めます。この反応により血が歯肉に集まるため赤く腫れて炎症が起こるのです。炎症の起こっている場所は、戦場となっているのです。炎症が起こっても、原因となっている細菌のすみかである歯垢を自分のブラッシングや歯科医院でのクリーニングで取り除くことで、治めることが出来ます。歯周病は、初期段階では痛みがほぼないため放置しがちですが、放置したままにしていると、じわじわと慢性的に悪化して進行を招くことになります。歯周病の発症の目安になるのが、耳にされたことがあるかも知れませんが、歯周ポケットの形成です。歯周組織が、歯周病菌に破壊され、歯から歯肉が剥がれることで、形成されます。一般に深さが4mm以上になると歯周病と診断されます。ポケットが4mmであればまだ軽症です。6mm以上のポケットが見られたら、重症と言える状態です。歯周病は、初期の段階では、治療を始めると比較的短期間で健康な状態になりますので、重症化する前に、歯周病かなと思ったら放置せずに歯科医院にご相談下さい。
次の項では、歯周病と全身の病気との関連性についてご説明させて頂きます。
この記事のお問い合わせ先:阿倍野区西田辺のいえさき歯科
HP:www.iesaki.net
電話番号:0666244500




